TANITIM
4 saat önce
Elektrikli Motor ve Elektrikli Motorsiklet ile Ulaşımın Yeni Dönemi
Şehir içi ulaşımda yaşanan dönüşüm, artık sadece araç teknolojilerinin değil kullanıcı alışkanlıklarının da değiştiğini gösteriyor. Yakıt maliyetleri, trafik yoğunluğu ve…
TANITIM
5 saat önce
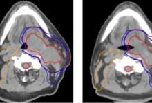
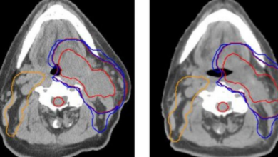
Adaptif Radyoterapi Tedavinin Hastaya Uyum Sağladığı Yaklaşımdır
Radyoterapi, onkolojik tedavinin köklü ve yaygın bileşenlerinden biridir. Ancak geleneksel radyoterapi planlaması; tedavi başlangıcında bir kez yapılır ve süreç…
TANITIM
3 Kasım 2025
ÇETKODER ‘den 300 Kişiye Onur ve Altın Orkide Nişanı Takdim etti
Haber Merkezi: Çevre ve Tüketici Haklarını Koruma Derneği (ÇETKODER) tarafından her beş yılda bir düzenlenen “Çevre ve Tüketici Ödülleri” töreni,…
EKONOMİ
24 Ekim 2025
Suwen, “Doğanın Ruhu İçimizde” manifestosuyla ilk sürdürülebilirlik raporunu yayınladı
2030’a kadar enerji tüketiminde %75 emisyon azaltımı hedefi! Türkiye’nin öncü iç giyim markası Suwen, yayınladığı ilk Sürdürülebilirlik Raporu (2024)…
GÜNCEL
20 Mart 2025
Başkent İnşaat ve Uğur Vergili: İnşaat Sektöründe Bir Başarı Hikayesi
İnşaat sektörünün önde gelen isimlerinden Uğur Vergili, kurucusu olduğu Başkent İnşaat ile hem Türkiye’de hem de uluslararası arenada adından söz…
TANITIM
8 Şubat 2025
AGF ve BİK Genel Kurul Üyeleri, OKÜ Rektörü Prof. Dr. Turgay Uzun’u Ziyaret Etti
Akdeniz Gazeteciler Federasyonu (AGF) yönetim kurulu üyeleri ve Basın İlan Kurumu (BİK) genel kurul üyeleri, Osmaniye Korkut Ata Üniversitesi (OKÜ)…








